Walaupun doktor kesihatan sudah berkali-kali mengingatkan tentang risiko hubungan badan tanpa perlindungan, masih ramai anak muda yang berani melakukannya. Demi kenikmatan sesaat, ada yang terlepas pandang kesan jangka panjang yang mungkin menjejaskan kesihatan, emosi dan masa depan mereka sendiri.
Tubuh tak boleh berbohong…Cramp di perut semakin menjadi-jadi
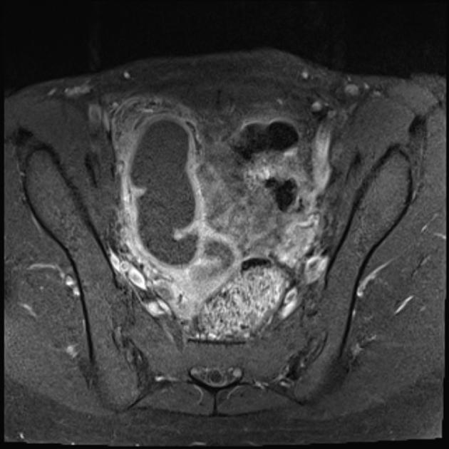
Keputusan yang dibuat pada hari ini boleh membawa implikasi besar dalam hidup mereka, kisah yang didedahkan seorang doktor ini wajar dijadikan peringatan bersama. Difahamkan, seorang pelajar berusia 16 tahun dibawa ibu bapanya ke hospital atas keluhan mengalami haid berpanjangan dan rasa tegang di bahagian perut. Disangka sekadar gangguan hormon, hasil imbasan USG akhirnya mendedahkan isu lebih besar.
Artikel Berkaitan :
👉 40cm Usus Keluar Akibat ‘Hubungan Belakang’, Hilang Upaya Buang Air Besar
👉 Wanita Lahirkan Anak Luar Nikah Keempat – “Kenapa Tak Kahwin? Tiada Siapa Nak”
👉 Najis Keluar Ikut Miss V, Isteri Curang Buat Benda Luar Tabii Dengan Lelaki Lain
👉 Dan banyak lagi di Whatsapp Channel Kisah Dunia!

Saluran telur bengkak & bernanah akibat jangkitan bakteria
Rupa-rupanya, remaja berkenaan mengalami jangkitan di organ reproduksi yang dikenali sebagai Pelvic Inflammatory Disease (PID). Setelah ditanya lebih lanjut, barulah dia mengaku tentang kekerapan melakukan hubungan dengan teman lelakinya. Bermula dengan masalah keputihan melampau, kuning dan berbau, jangkitan kelamin itu mula tersebar ke bahagian lain.

Rahim adalah aset masa depan…Lelaki akan pergi, kerosakan di tubuh kekal selamanya
Bagi rawatan susulan, doktor terpaksa memberikan dos antibiotik yang cukup tinggi kepada remaja berkenaan. Jika jangkitan itu semakin teruk, risiko yang boleh terjadi adalah kerosakan saluran telur yang sekeligus bakal menyebabkan isu kesuburan (mandul), selain meningkatkan risiko kehamilan luar rahim.

KREDIT : IG stanleyphan.spog
Artikel ini disediakan oleh team Kisah Dunia. Tak dibenarkan meniru isi kandungan atau mana-mana bahagian artikel termasuklah logo sewenang-wenangnya. Laporan copyright akan dikenakan.



