Segelintir pengamal hubungan songsang mungkin akan memberikan 1001 justifikasi apabila gaya hidup mereka dipersoalkan. Hakikatnya, sejauh mana pun mereka cuba menormalisasikan, kisah dalam dunia perubatan sendiri sudah membuktikan betapa perbuatan itu boleh menjejaskan kesihatan seseorang untuk jangka masa panjang.
Belum pernah saya dengar yang berakhir seperti Cinderella, happily ever after
Pahit untuk ditelan, namun itulah realiti yang sempat didedahkan seorang pakar perubatan, Dr Berlian Siagian, juga hasil perkongsian daripada rakan seperjuangan, Pakar Saraf, Dr Ani Hasibuan. Berdasarkan pengalaman merawat golongan sejenis tersebut, mereka menyifatkan kebanyakan kisah tidak berakhir dengan kegembiraan, sebaliknya penuh dengan kematian yang meruntun jiwa.
Artikel Berkaitan :
👉 Nikahi Duda Anak 4, Isteri Disahkan Hamil Terkejut Suami Suruh Tanggung 100%
👉 “Nikah Jangan Cari Aku” – Lalui Penceraian, Bekas Suami Kirim Pesanan Buat Anak
👉 Letih Ke Mahkamah Sejak 2024, Nafkah Anak Belum Terbela, Bekas Suami Bakal Nikah
👉 Dan banyak lagi di Whatsapp Channel Kisah Dunia!

Hasil bayaran bulanan sebagai gigolo, suami kirimkan duit ke anak isteri
Antara yang diceritakan semula adalah mengenai pengorbanan seorang suami yang tinggal jauh di negeri berbeza demi mencari nafkah buat isteri dan 2 cahaya mata. Rupa-rupanya, dia bekerja sebagai caddy di sebuah pusat golf sebelum terjebak menjadi gigilo seorang klien luar negara. Setiap bulan, dia menerima bayaran mengikut mata wang USD iaitu sekitar USD 1,000-USD 2,000 (RM4,000-RM9,000) setiap bulan.

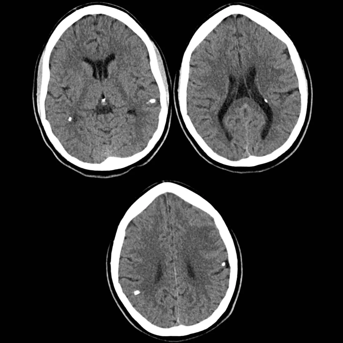
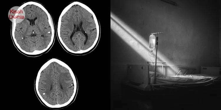
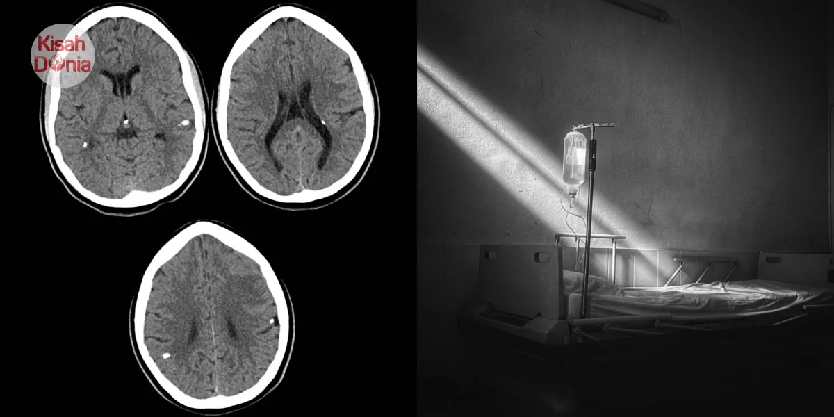
Selepas disahkan positif HIV & Toksoensefalitis, dia nangis meraung-raung
Di sebalik gaji yang lumayan, dia bagaimanapun disahkan menghidap Toksoensefalitis (bisul/keradangan otak) serta jangkitan kelamin. Sepanjang dirawat di hospital, lelaki itu benar-benar menyesal dengan jalan hidup yang dipilihnya dan dilihat sentiasa membaca Al-Quran. Tidak lama kemudian, dia akhirnya kembali kepada Sang Pencipta.

KREDIT : FB DR. Berlian Siagian
Artikel ini disediakan oleh team Kisah Dunia. Tak dibenarkan meniru isi kandungan atau mana-mana bahagian artikel termasuklah logo sewenang-wenangnya. Laporan copyright akan dikenakan.



