Apabila sudah galak bermain dengan kawan-kawan di sekolah, ada segelintir pelajar mempunyai kenakalan luar biasa hingga para guru sendiri sukar untuk mengawal mereka. Lebih merisaukan lagi apabila perangai mereka sudah mula mengganggu tahap keselamatan pelajar lain. Seakan suker dipercaya, itulah nasib malang yang dialami seorang murid berusia 11 tahun ini.
Murid 11 tahun alami kecederaan punggung kiri akibat prank rakan sebaya
Sewaktu berada dalam bilik darjah, dia tidak sengaja terduduk di atas sebatang pensel yang diletakkan secara menegak di atas kerusi. Semua itu terjadi angkara perbuatan rakan sekelasnya yang cuba melakukan gurauan (prank). Selepas itu, murid yang awalnya sihat walafiat itu segera dibawa ke hospital untuk rawatan susulan.
Artikel Berkaitan :
👉 Diejek Kawan Jika Tak Buat, Pensel 10CM Ditemui Di Pundi Kencing Budak 12 Tahun
👉 Dada Anak ‘Tertanam’ Mata Pensel Rakan, Ibu Buka Mulut Kejadian 2 Minggu Lalu..
👉 [FOTO] Ustaz Bawa Pensel ‘Gergasi’ Ke Kelas Viral, Tak Sangka Ini Sebabnya..
👉 Dan banyak lagi di Whatsapp Channel Kisah Dunia!

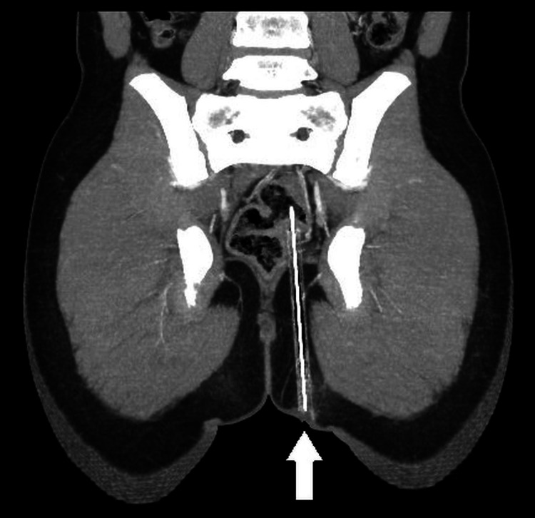
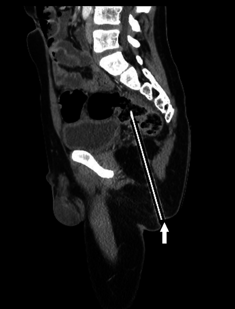
Pensel termasuk ke dalam gluteal sejauh 12.4cm
Walaupun nampak seperti tidak kritikal secara luaran, sebenarnya objek berkenaan telah menembusi daging punggung (gluteal) murid berkenaan sedalam 12.4cm. Imbasan seterusnya turut mengesahkan hujung pensel terbabit sudah terkena pada bahagian rektum (bahagian akhir usus besar).

Sempat alami keradangan setelah menjalani surgeri
Walau bagaimanapun, doktor berjaya mengeluarkan pensel tersebut menerusi sebuah surgeri kecil. Selepas itu, murid tersebut sempat mengadu tentang rasa tidak selesa pada abdomen akibat peningkatan tahap keradangan. Akan tetapi selepas dipantau rapi, dia kembali sihat tanpa sebarang komplikasi atau kesan buruk berpanjangan.

KREDIT : Portal National Library Of Medicine
Artikel ini disediakan oleh team Kisah Dunia. Tak dibenarkan meniru isi kandungan atau mana-mana bahagian artikel termasuklah logo sewenang-wenangnya. Laporan copyright akan dikenakan.



